Allgemeine Informationen zu unserer Praxis
Unsere Praxis liegt im Ortsteil Bühl der Kleinstadt Creußen. Die Adresse sowie eine Karte mit Wegbeschreibung finden Sie auf unserer Kontakt-Seite.
Kleintiersprechstunden
Termine während der Öffnungszeiten nur nach Vereinbarung
| Montag | 8:00 – 13:0015:00 – 18:00 |
|---|---|
| Dienstag | 8:00 – 13:0015:00 – 18:00 |
| Mittwoch | 8:00 – 12:0014:00 – 15:00 |
| Donnerstag | 8:00 – 13:0015:00 – 18:00 |
| Freitag | 8:00 – 13:0015:00 – 18:00 |
Außerhalb unserer Öffnungszeiten wenden Sie sich bitte an den Ringnotdienst.
Unsere Praxisräume



Unsere Leistungen
-
Chirurgie (Weichteil, Knochen, Augen)
-
Internistik
-
Hautkrankheiten
-
Röntgen (auch HD/ED, Zulassung: SV,ADRK u. a.)
-
Ultraschall
-
Zahnsteinentfernung per Ultraschall
-
Zahnröntgen
-
Blutdruckmessung bei Hund und Katze
-
Behandlung von Kleinnagern
-
Laboruntersuchung in der Praxis
-
EKG
-
Augendruckmessung
-
Deckzeitpunktbestimmung inklusive Progesteronwert in der Praxis
-
stationäre Aufnahme von Katzen, kleineren Hunden und Kleinnagern
-
Urinanalyse in der Praxis
Geräteausstattung unserer Praxis

neues Ultraschallgerät mit farbkodierter Dopplersonografie

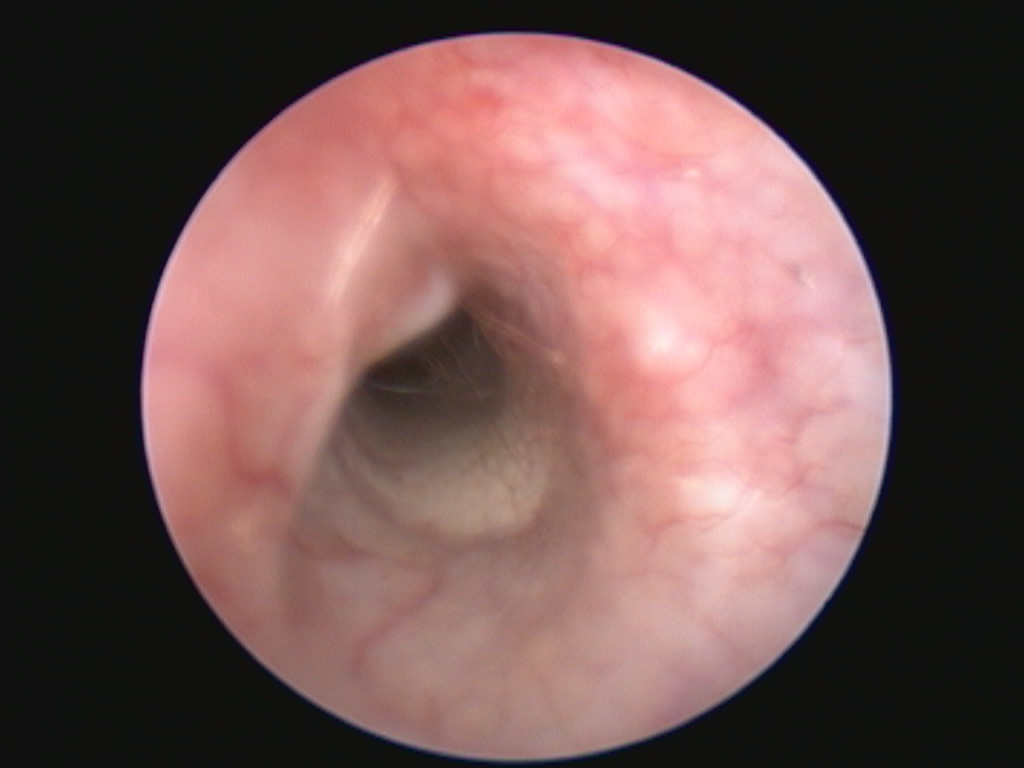
Video-Otoskop

Video-Otoskop Aufnahme

Untersuchung mit dem Video-Otoskop

Inhalationsnarkosegerät mit Narkose-Monitoring
Kapnograph zur CO2-Überwachung sowie Pulsoxymeter zur Überwachung von Herzfrequenz und Sauerstoffsättigung

OP mit dem Narkosegerät



Digitales Röntgen

mobiles Ultraschallgerät

Blutdruckmessung bei Hund und Katze

Laborgerät
Blutbild und blutchemische Untersuchungen wie z.B. Nieren-, Leber- und Bauchspeicheldrüsen-Parameter nur Minuten nach Blutentnahme

Zahnbehandlungsstation

Zahnröntgengerät

EKG

Radiochirurgiegerät
gewebeschonende Methode mit sehr präziser Schnitt- führung, vor allem für Operationen in der Maulhöhle und am Auge, aber auch zur blutarmen OP bei Tumoroperationen

Tonometer zur Augendruckmessung



